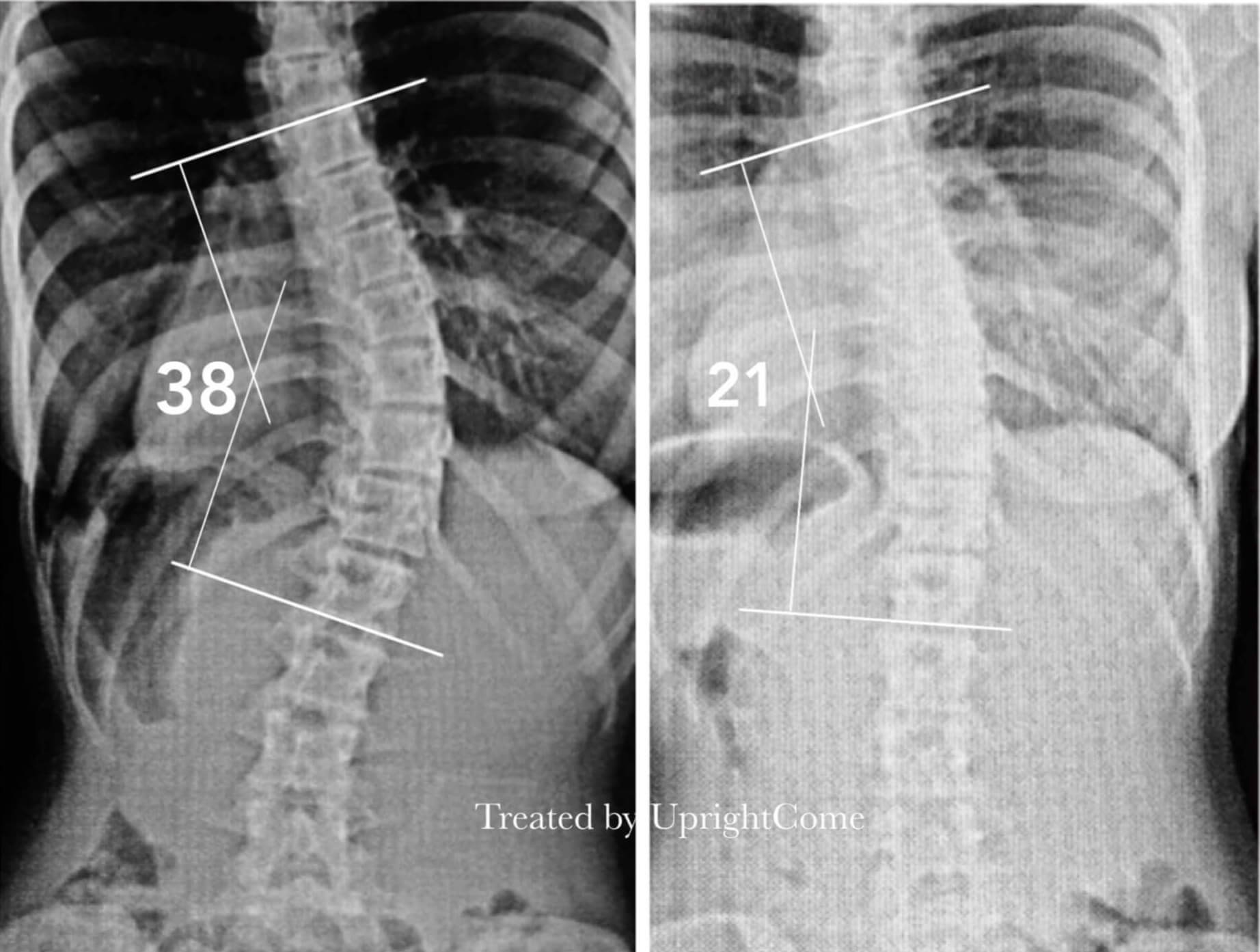
Before/After HOME Before/After X-Ray More Appearance More CLAIM: ABOVE CASES ARE FROM UPRIGHTCOME, UNAUTHORIZED REPUBLISHING OF THE CONTENT IS PROHIBITED. TREATMENT EFFECT DIFFERS FROM PERSON TO PERSON. PROFESSIONAL CONSULTATION AND EVALUATION ARE NECESSARY. «1»