Case 1, 16 years old, 41° Cobb
![脊椎側彎患者經過側彎矯正治療後,腰椎角度由41度減少到21度,有49%的改善。]()
Case 2, 16 years old, 30° Cobb
![脊椎側彎患者經過側彎矯正治療後,胸椎角度由28度減少到20度,腰椎角度由30度減少到18度,最大有到40%的角度改善。]()
Case 3, 10 years old, 43° Cobb
![脊椎側彎患者經過側彎矯正治療後,腰椎角度由43度減少到28度,有35%的改善。]()
Case 4, 12 years old, 30° Cobb
![脊椎側彎患者經過側彎矯正治療後,腰椎角度由30度減少到17度。]()
Case 5, 14 years old, 33° Cobb
![脊椎側彎患者經過側彎矯正治療後,胸椎角度由33度減少到21度。]()
Case 6, 23 years old, 50° Cobb
![脊椎側彎患者經過側彎矯正治療後,胸椎角度由50度減少到39度。]()
Case 7, 11 years old, 17° Cobb
![脊椎側彎患者經過側彎矯正治療後,腰椎角度由17度減少到2度。]()
Case 8, 13 years old, 40° Cobb
![脊椎側彎患者經過側彎矯正治療後,胸椎角度由40度減少到29度。]()
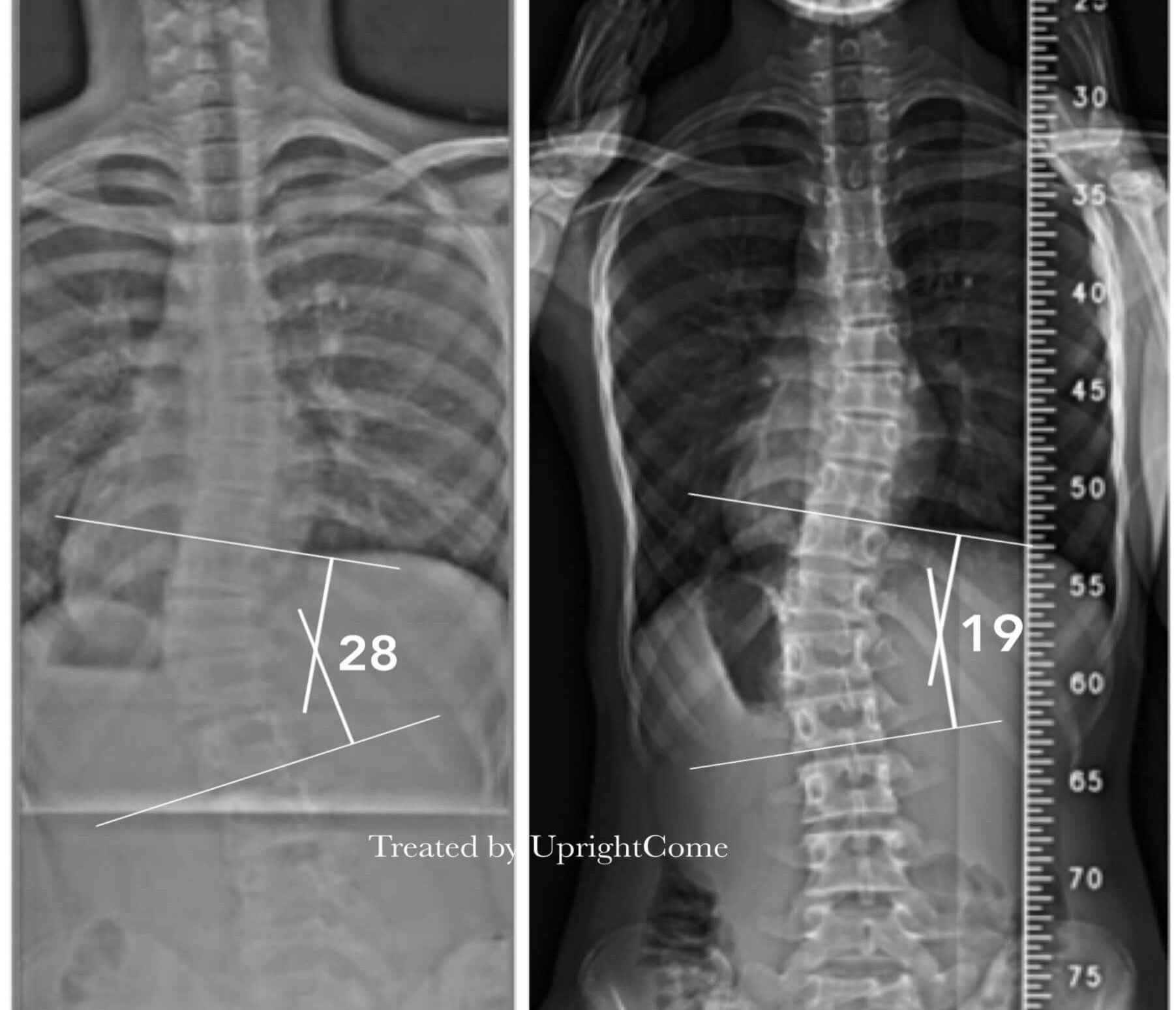
Case 9, 14 years old, 28° Cobb
![脊椎側彎患者經過側彎矯正治療後,腰椎角度由28度減少到19度。]()
Case 10, 15 years old, 46° Cobb
![脊椎側彎患者經過側彎矯正治療後,腰椎角度由46度減少到38度。]()
Case 11, 16 years,24° Cobb
![脊椎側彎患者經過側彎矯正治療後,腰椎側彎角度由24度減少到18度。]()
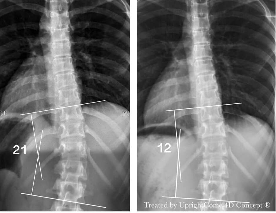
Case 12, 16 years, 21° Cobb
![脊椎側彎患者經過側彎矯正治療後,胸椎側彎角度由21度減少到12度。]()
Case 13, 16 years old, 27° Cobb
![脊椎側彎患者經過側彎矯正治療後,腰椎側彎角度由27度減少到19度。]()
Case 14, 16 years old, 38° Cobb
![脊椎側彎患者經過側彎矯正治療後,胸椎側彎角度由38度減少到21度。]()
Case 15, 17 years old, 27° Cobb
![脊椎側彎患者經過側彎矯正治療後,胸椎側彎角度由27度減少到22度。]()
- CLAIM: ABOVE CASES ARE FROM UPRIGHTCOME, UNAUTHORIZED REPUBLISHING OF THE CONTENT IS PROHIBITED. TREATMENT EFFECT DIFFERS FROM PERSON TO PERSON. PROFESSIONAL CONSULTATION AND EVALUATION ARE NECESSARY.