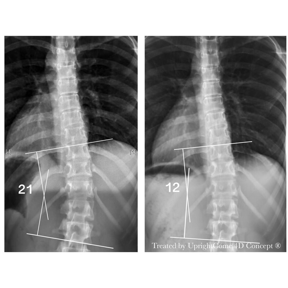
側彎訊息 首頁 側彎訊息 零時差脊椎側彎醫療新知 2020-06-21 科學家已發現有些基因和脊椎側彎有關,令人振奮!曾琴雁主任受邀參與國際脊椎側彎治療與復健協會年度會議 ... more 補班日 一日六縣市側彎人 2020-06-20 感謝由基隆、台北、桃園、新竹、台中*N、台南而來的側彎人,即便是補班日也特別請假前來。 你愛我們、 我 ... more 最好的畢業禮物!變正了! 2020-06-12 又到了充滿感謝的畢業季,來自台中22歲的側彎女孩即將完成療程,從挺立康畢業。原本右腰的摺痕,消失了! ... more 曾琴雁主任再登國際! 2020-06-02 曾琴雁主任再登國際! " Look Beyond the Cobb " 醫者的眼界可以轉動側彎患者的世界 率領 ... more 大雨澆不熄對脊椎側彎治療的熱忱 2020-05-27 大雨澆不熄對側彎治療的熱忱,今日一大早下著大雨,曾琴雁主任即前往亞洲大學物理治療系授課。曾主任在國際 ... more 為什麼會選擇來挺立康治療脊椎側彎呢? 2020-05-20 來自彰化的腰椎側彎女孩說:因為我們是非手術側彎專科。很想改善腰線不對稱和高低肩,謝謝你相信我們的專業 ... more 嚴重的脊椎側彎,一定要開刀嗎? 2020-05-15 嚴重的脊椎側彎,一定要開刀嗎? 今天來說說一個激勵人心的故事,這是一位台北 13 歲嚴重脊椎側彎女孩,X ... more 來自台中47度胸椎側彎的大男孩 2020-05-03 這是一位來自台中47度胸椎側彎,合併有輕度漏斗胸的大男孩,個性開朗的你讓診間常常充滿爽朗的笑聲,謝謝 ... more 有一種暖是側彎人與挺立康 2020-04-21 來說說讓小編變胖的原因,雖然正值防疫期間,還能收到來自各方湧入的愛心,感謝大家的餵食,制服都快穿不下 ... more 脊椎側彎矯正,久違了!美形腰線 2020-04-16 腰線不對稱怎麼辦?背部凸起怎麼辦 ? 因為側彎來到診所的妳,從一開始的擔心害怕,經過專家初診諮詢後,了 ... more 你在意的「肋骨/ 腰線」已經改變! 2020-04-03 你在意的「肋骨/ 腰線」已經改變!來自桃園15歲的你,經過四次治療後,像是施了魔法一般,逐漸改善。你與 ... more <公告> 挺立康脊柱側彎國際醫療中心實習生-臨床實習初選通過名單 2020-03-26 <公告> 挺立康脊柱側彎國際醫療中心實習生-臨床實習初選通過名單 張O凱 方O雅 林O瑋 陳O唯 林 ... more 能找到脊椎側彎專家,是幸運的事 2020-03-19 到遇見挺立康,一切都有希望了。2016年 12 月第一次初診見到她時才8歲,能有這麼大幅度的進步,除了透過 ... more 你的夢想是什麼? 2020-03-11 你的夢想是什麼?台北 16 歲側彎女孩答:我也想成為可以幫助別人的人。 女孩正在持續追蹤治療中,小編被她 ... more 痠痛是我最在意的! 2020-02-20 這是一位 22 歲男孩,從宜蘭到新竹治療脊椎側彎的故事,在療程完成後,除了解決了他長期酸痛的困擾,體態 ... more 脊椎側彎,真的不想開刀! 2020-02-12 這是 13 歲重度脊椎側彎女孩的心聲,4D 療程後至居家附近的醫學中心追蹤 X 光,胸椎角度由43度改善至28 ... more 大年初五陽光露臉嚕 ☀️ 2020-01-26 大年初五陽光露臉嚕☀️,明天初六 1/30 開始,挺立康側彎醫療恢復預約門診。順道呼籲,請大家務必配戴口 ... more 數字會說話 2020-01-02 16 歲女孩與母親終於看到歡喜的淚水,胸椎由 28 度改善到 20 度,腰椎由 30 度改善到 18 度。面對高惡化 ... more 我的脊椎側彎有改變了! 2019-12-28 看到你傳來的訊息,挺立康全體同仁都為你感到高興和感動,胸椎角度由73度改善到57度。細心的台中22歲女孩 ... more 聖誕佳音 : 脊椎側彎角度改善 49% 2019-12-25 耶誕節的今天,你傳來了一個聖誕佳音,腰椎角度由 41 度改善到 21 度。改變不難、永不嫌晚,第一次遇見這 ... more «12345678910»