你的夢想是什麼?

你的夢想是什麼?
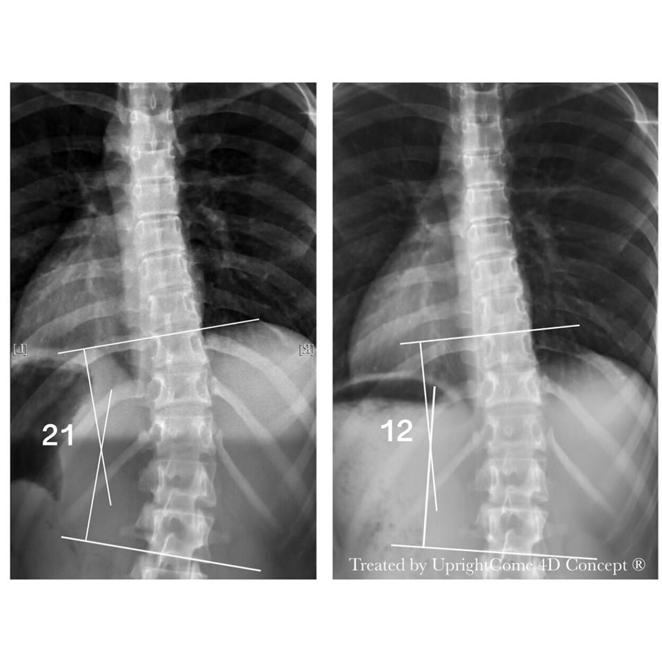
你的夢想是什麼?台北 16 歲側彎女孩答:我也想成為可以幫助別人的人。女孩正在持續追蹤治療中,小編被她的積極及認真打動,分享這份感動給大家。這是一位充滿正能量且勇敢的女孩,在課業壓力龐大的高中生活下,同時進行「 4D 側彎專屬治療療程」,沒有背架,憑藉著我們一起的努力,側彎度數與旋轉逐漸改善,也萌發成為「物理治療師」的夢想!
成功來自堅持,執著創造奇蹟,挺立康會持續陪著妳在變正的路上️,只要妳憑著信心展翅飛翔,人生將會是一段美好的旅程,祝福你夢想成真,一起讓高品質側彎醫療的種子延續下去,挺立康挺妳。 ❤️